Rialzi occlusali a Massa e Carrara
Cosa sono i rialzi occlusali: un'ottima scelta oltre alle faccette dentali per denti piccoli.
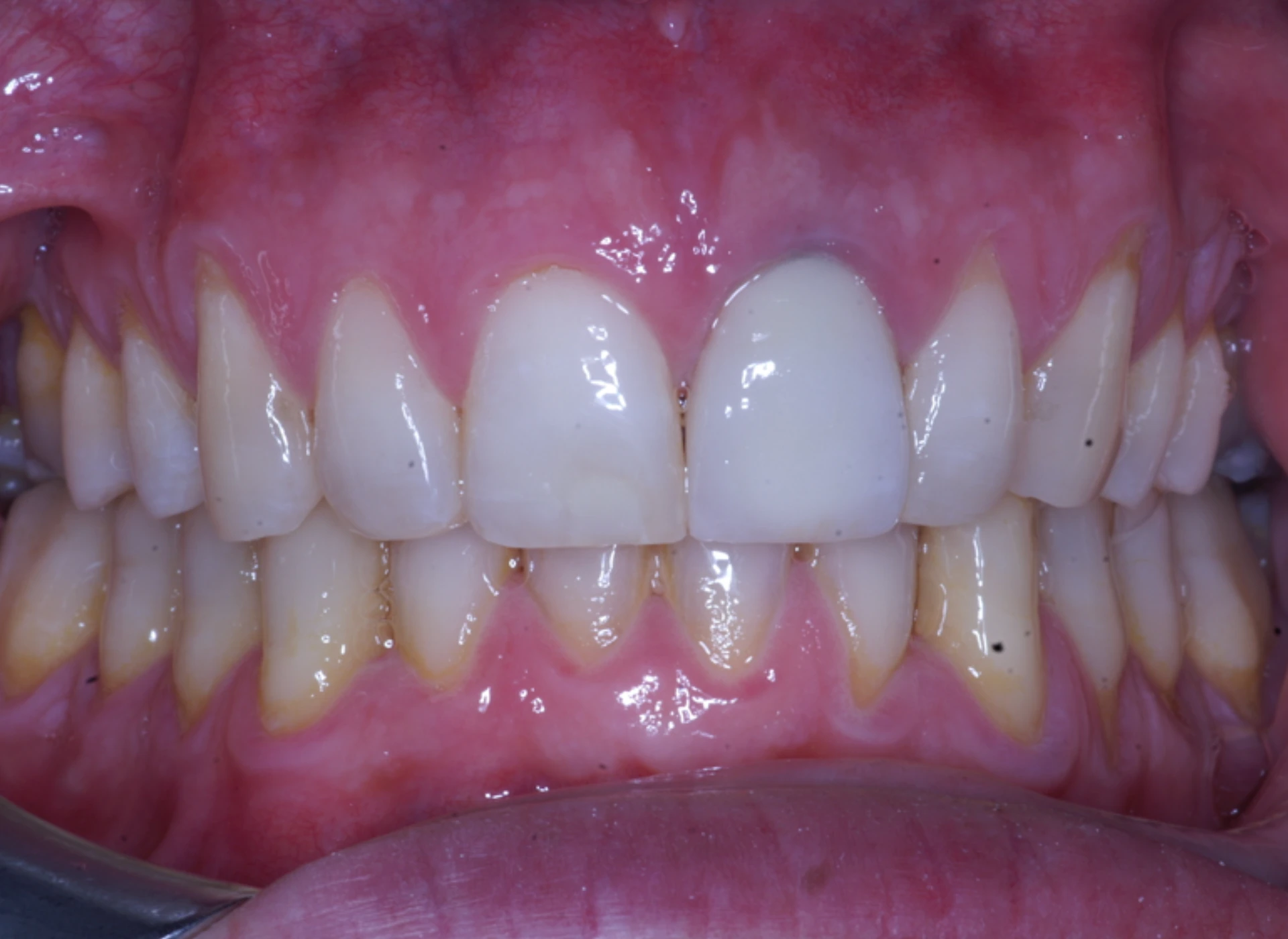
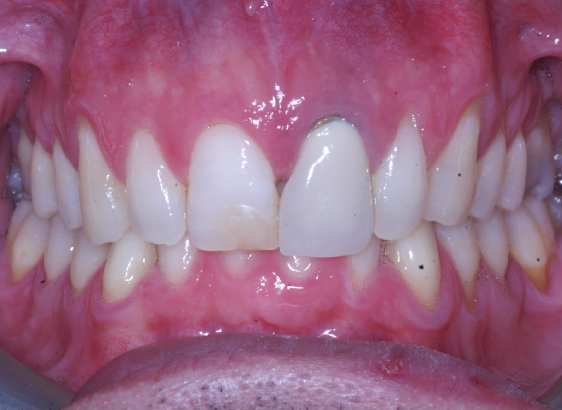
I rialzi occlusali rappresentano una soluzione ultra-conservativa per chi desidera migliorare estetica e funzione senza intervenire in modo invasivo sui denti. Si tratta di sottili restauri applicati sulla superficie masticatoria dei denti posteriori, progettati per ripristinare l’altezza originale del morso quando questa si è ridotta nel tempo.
Le cause più comuni sono:
• Usura dentale o bruxismo
• Acidità orale dovuta ad alimentazione o reflusso
• Erosione dello smalto
• Denti naturalmente corti o consumati
Grazie ai rialzi occlusali, la chiusura della bocca torna equilibrata e i denti anteriori riacquistano proporzioni e visibilità, senza necessità di limare o coprire lo smalto con faccette.
Questa tecnica, i rialzi occlusali a Massa e Carrara, sono una valida opzione, ideale per chi cerca un approccio conservativo e rispettoso della struttura naturale dei denti.

Ogni trattamento nasce da una visione che unisce estetica, funzione e benessere globale.

Analizziamo il legame tra occlusione e postura per garantire armonia e stabilità.

Utilizziamo tecniche minimamente invasive per preservare i tessuti naturali.

Ogni sorriso è unico: costruiamo percorsi su misura per ogni paziente.

Affianchiamo il paziente anche sul piano emotivo, con ascolto e consapevolezza.
Rialzi occlusali: come funzionano e perché possono sostituire le faccette dentali
Presso Odontoiatria OK a Massa e Carrara, i rialzi occlusali agiscono aumentando la dimensione verticale del morso, riequilibrando la chiusura e riducendo il sovraccarico sui denti anteriori. In questo modo, la parte consumata viene ricostruita in modo naturale e armonioso, restituendo al sorriso proporzioni corrette e un aspetto più aperto e luminoso.
È la scelta ideale per chi desidera un approccio conservativo, perché:
non richiede di limare i denti,
è reversibile e personalizzabile,
migliora sia estetica che funzione masticatoria.
I rialzi occlusali a Massa e Carrara rappresentano una valida opzione, adatta a chi cerca risultati duraturi senza compromettere la struttura naturale del dente.

Affidati a Odontoiatria OK, studio dentistico a Massa Carrara, dove esperienza, tecnologia e attenzione alla persona si uniscono per offrirti cure sicure, personalizzate e in equilibrio con tutto il corpo. Contattaci oggi stesso!

Costo dei rialzi occlusali: un'opzione conservativa e vantaggiosa
Il costo dei rialzi occlusali può variare in base al numero di denti da trattare e alla complessità del caso clinico, poiché ogni sorriso richiede una pianificazione personalizzata. In molti casi, rappresentano una soluzione più conservativa e meno invasiva rispetto alle faccette o alle corone, poiché non richiedono limature né interventi protesici complessi.
Questa tecnica permette di ottenere un risultato estetico e funzionale naturale, preservando completamente lo smalto. È quindi una scelta intelligente per chi cerca un trattamento efficace e rispettoso dei propri denti, scopri i rialzi occlusali a Massa e Carrara.

Il Dott. Marco Pantani, co-titolare di Odontoiatria OK, studio dentistico a Massa Carrara, è un odontoiatra con un solido percorso formativo e una visione moderna della professione. Laureato in Odontoiatria e Protesi Dentaria, ha approfondito le proprie competenze in gnatologia, posturologia e odontoiatria digitale, integrando tecniche innovative con un approccio centrato sulla persona. Collabora quotidianamente con il Dott. Massimo Silvio Pantani nella gestione dei casi complessi, unendo precisione clinica e sensibilità estetica. È convinto che la cura del sorriso debba passare attraverso l’armonia tra funzione, salute generale e qualità della vita del paziente.
Iscritto all’Albo Provinciale degli Odontoiatri di MASSA CARRARA (Ordine della Provincia di MASSA CARRARA) n. 329.







Inizia oggi il tuo percorso verso un sorriso in equilibrio. Contattaci per fissare la tua prima visita: ti accoglieremo con ascolto, professionalità e un approccio personalizzato che unisce estetica, funzione e postura, per costruire insieme un piano di cura su misura per il tuo benessere.
Quanto durano i rialzi occlusali: un trattamento stabile e duraturo nel tempo
I rialzi occlusali offrono una durata eccellente, soprattutto se accompagnati da controlli periodici e da una corretta igiene orale. Si tratta di restauri resistenti, pensati per adattarsi alla naturale evoluzione del morso e mantenere nel tempo estetica e funzionalità.
Un grande vantaggio è la loro facilità di ritocco e aggiornamento, che consente di intervenire in modo mirato senza modificare la struttura del dente. Questo rende i rialzi occlusali a Massa e Carrara ideali anche per pazienti giovani o con usura dentale attiva, rappresentando una valida opzione oltre faccette dentali per chi cerca soluzioni durature e completamente reversibili.
Rialzi occlusali e denti piccoli: quando rappresentano la scelta ideale
I rialzi occlusali a Massa e Carrara sono la soluzione perfetta per chi ha denti piccoli, corti o poco visibili e desidera migliorare il sorriso in modo naturale e conservativo.
Aumentando la dimensione verticale del morso, questa tecnica permette di riportare in evidenza i denti anteriori, rendendoli più proporzionati e armoniosi senza limare lo smalto.
È particolarmente indicata nei casi di usura dentale, bruxismo o perdita di altezza del morso, offrendo un risultato estetico equilibrato e funzionale nel tempo.
Per chi cerca un approccio personalizzato e rispettoso della struttura dentale, rappresenta una valida opzione oltre alle faccette dentali.
Con il tempo, l’usura dentale può rendere i denti più corti, opachi e irregolari, compromettendo estetica e funzionalità. I rialzi occlusali permettono di ricostruire la forma originaria dei denti, proteggendo lo smalto residuo e migliorando la postura mandibolare.
A differenza dei rimedi fai-da-te o naturali spesso proposti online, questa è una soluzione conservativa, professionale e sicura, pensata per rispettare completamente la struttura del dente.
È il trattamento ideale per chi desidera ritrovare un sorriso armonioso e una masticazione equilibrata, rappresentando una valida opzione oltre alle faccette dentali. Vieni a scoprei i rialzi occlusali a Massa e Carrara.
Quando il sorriso appare spento o poco visibile, la causa è spesso una riduzione della dimensione verticale del morso, dovuta a usura o bruxismo. I rialzi occlusali permettono di riaprire il sorriso in modo naturale, restituendo armonia e proporzioni corrette senza interventi invasivi.
Grazie a questa tecnica, i denti anteriori tornano ben visibili, il profilo del viso appare più equilibrato e l’estetica generale del sorriso migliora sensibilmente.
È un trattamento conservativo, sicuro e completamente personalizzabile, ideale per chi desidera un risultato naturale e duraturo: i rialzi occlusali a Massa e Carrara sono un opzione oltre alle faccette dentali, scopri quale fa al caso tuo.
Affidati a Odontoiatria OK, studio dentistico a Massa Carrara, dove esperienza, tecnologia e attenzione alla persona si uniscono per offrirti cure sicure, personalizzate e in equilibrio con tutto il corpo. Contattaci oggi stesso!
Controindicazioni dei rialzi occlusali: quando non sono la soluzione ideale
Le controindicazioni dei rialzi occlusali sono davvero limitate, poiché si tratta di un trattamento minimamente invasivo e completamente conservativo. Tuttavia, non sono consigliati nei casi di grave instabilità occlusale, di importanti squilibri mandibolari o quando è necessaria una riabilitazione protesica completa.
In tutte le altre situazioni, i rialzi occlusali a Massa e Carrara rappresentano una soluzione efficace per migliorare estetica e funzione senza limare i denti naturali.
Affidandosi a una valutazione accurata e personalizzata, è possibile determinare se questa tecnica è la scelta giusta per te, rappresentando una ottima scelta oltre alle faccette dentali.
Rialzi occlusali: pro e contro di un trattamento conservativo e naturale
I pazienti che hanno scelto Odontoiatria OK a Massa e Carrara per le loro faccette raccontano che i rialzi occlusali offrono numerosi vantaggi estetici e funzionali:
✅ Non richiedono la limatura dei denti naturali
✅ Sono un’ottima opzione oltre alle faccette dentali
✅ Migliorano l’equilibrio del morso e l’armonia del sorriso
✅ Sono reversibili e personalizzabili nel tempo
✅ Ideali per denti piccoli, corti o consumati
Tuttavia, come ogni trattamento, presentano anche alcune attenzioni da considerare:
⚠️ Richiedono un professionista esperto in gnatologia e odontoiatria estetica
⚠️ Necessitano di controlli periodici per mantenere la stabilità nel tempo
⚠️ Possono usurarsi in caso di bruxismo non trattato
I rialzi occlusali a Massa e Carrara rappresentano una solida opzione oltre alle faccette dentali, per chi desidera un risultato naturale e duraturo.
Hai bisogno di chiarimenti sui trattamenti o vuoi saperne di più sul nostro metodo? Il nostro team è sempre disponibile per ascoltarti e offrirti tutte le informazioni necessarie, guidandoti passo dopo passo nella scelta del percorso più adatto alle tue esigenze.
Lo studio si trova in Viale Galileo Galilei, 16 – Carrara (MS), facilmente raggiungibile con qualsiasi mezzo di trasporto.
Da Massa
Da Massa: dall’autostrada uscire a Carrara, fare la rotonda e girare a sinistra verso i monti. Continuare dritto per 800m e nella vostra destra troverete lo Studio in Viale Galileo Galilei 16.
Da Sarzana
Da Sarzana: dall’autostrada uscire a Carrara, fare la rotonda e girare a sinistra verso i monti. Continuare dritto per 800m e nella vostra destra troverete lo Studio in Viale Galileo Galilei 16.
Il percorso è semplice e ben segnalato, con traffico generalmente scorrevole in entrambe le direzioni.
Da Sud (Massa, Viareggio, Pisa)
Da Sud (Massa, Viareggio, Pisa): scendere alla stazione Carrara-Avenza, situata a circa 10 minuti in auto dallo studio.
Da Nord (La Spezia, Sarzana)
Da Nord (La Spezia, Sarzana): stessa fermata, Carrara-Avenza.
Dalla stazione è possibile raggiungere Odontoiatria OK con taxi o autobus urbani diretti verso Viale Galilei.
Dalla stazione si può raggiungere lo studio con taxi o autobus urbani diretti verso Viale Galileo Galilei.
Da Marina di Carrara
Da Marina di Carrara: prendere la linea urbana ATN Carrara direzione centro città, fermata “Viale Galileo Galilei”, a pochi metri dallo studio.
Da Massa (10 km): percorrere la SS1 Aurelia in direzione Carrara, uscire a Carrara Centro, proseguire su Viale XX Settembre e svoltare in Viale Galileo Galilei.
Da Sarzana (18 km): prendere la SS1 Aurelia verso sud, seguire le indicazioni per Carrara Centro, poi Viale Galileo Galilei.
Da Marina di Carrara (4 km): imboccare Viale da Verrazzano e poi Viale Galileo Galilei verso il centro città.
Da Avenza (3 km): seguire Viale XX Settembre, quindi svoltare in Viale Galileo Galilei.
Da Fosdinovo (15 km): scendere verso Sarzana, poi imboccare la SS1 Aurelia direzione Carrara fino a Viale Galileo Galilei.
Rialzi occlusali senza limare i denti: la soluzione più conservativa per il tuo sorriso
Uno dei principali vantaggi dei rialzi occlusali è che i denti non vengono limati né modificati. Questa tecnica ultra-conservativa permette di intervenire sull’estetica e sulla funzione del sorriso senza intaccare lo smalto naturale, preservando completamente la struttura originale del dente.
È la scelta ideale per chi desidera migliorare proporzioni e armonia del sorriso in modo delicato, naturale e reversibile.
Grazie a un approccio personalizzato e non invasivo, i rialzi occlusali a Massa e Carrara rappresentano un’ottima scelta oltre alle faccette dentali, perfetta per chi vuole prendersi cura del proprio sorriso senza compromessi.
Rialzi occlusali: testimonianze e casi reali di pazienti soddisfatti
Molti pazienti arrivano in studio convinti che le faccette siano l’unica soluzione per migliorare il proprio sorriso. Poi scoprono che esiste un metodo più naturale e conservativo: i rialzi occlusali.
Con questo trattamento:
✔️ non si limano i denti
✔️ non si utilizzano protesi
✔️ si ottiene un’estetica armoniosa e proporzionata
✔️ il sorriso torna visibile e naturale
✔️ la funzione masticatoria viene pienamente recuperata
Il risultato è sorprendente: i rialzi occlusali a Massa e Carrara non si notano, perché si integrano perfettamente con i denti esistenti. Una soluzione discreta, efficace e personalizzata, considerata una ottima scelta oltre alle faccette dentali.














