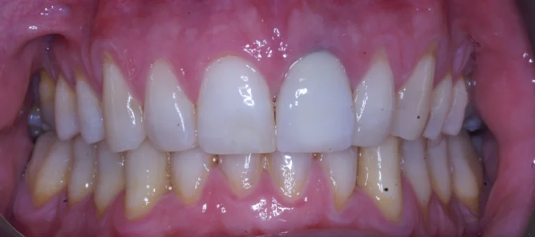
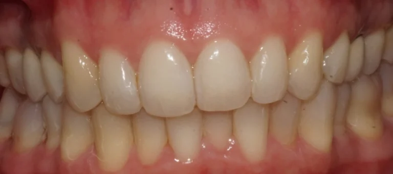
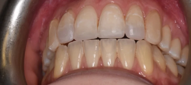
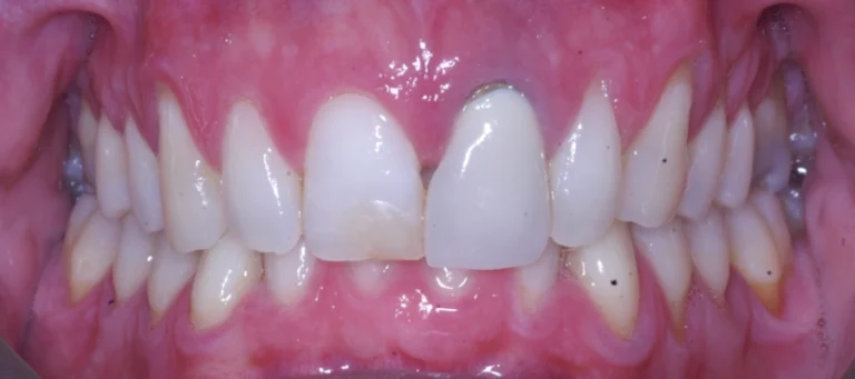
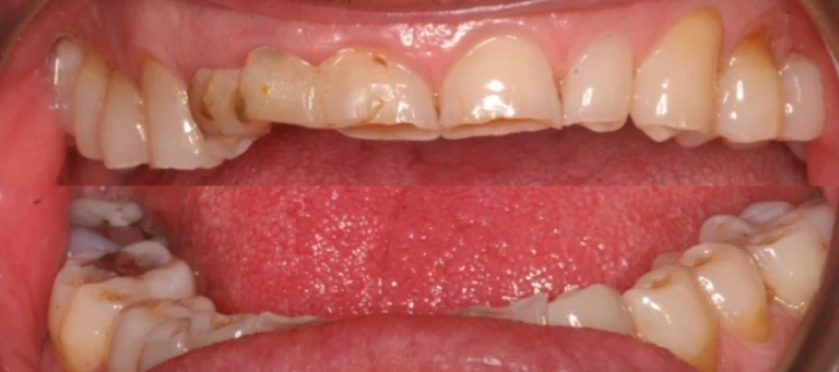
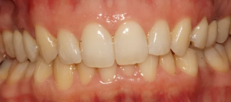
Vuoi vedere i risultati dei nostri pazienti? Guarda i sorrisi prima e dopo il trattamento!
Rialzi occlusali e apertura del morso

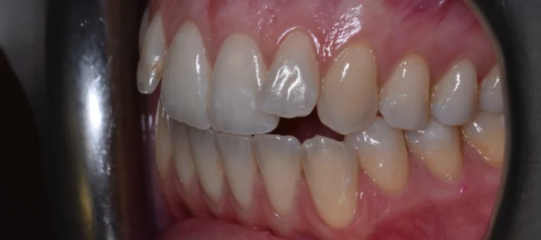
Rialzi occlusali e notevole aumento altezza dei denti

Rialzi occlusali e ripristino guida canina

Rialzi occlusali e lavoro estetico su paziente affetto da forte bruxismo

Lo studio si trova in Viale Galileo Galilei, 16 – Carrara (MS), facilmente raggiungibile con qualsiasi mezzo di trasporto.
Da Massa
Da Massa: dall’autostrada uscire a Carrara, fare la rotonda e girare a sinistra verso i monti. Continuare dritto per 800m e nella vostra destra troverete lo Studio in Viale Galileo Galilei 16.
Da Sarzana
Da Sarzana: dall’autostrada uscire a Carrara, fare la rotonda e girare a sinistra verso i monti. Continuare dritto per 800m e nella vostra destra troverete lo Studio in Viale Galileo Galilei 16.
Il percorso è semplice e ben segnalato, con traffico generalmente scorrevole in entrambe le direzioni.
Da Sud (Massa, Viareggio, Pisa)
Da Sud (Massa, Viareggio, Pisa): scendere alla stazione Carrara-Avenza, situata a circa 10 minuti in auto dallo studio.
Da Nord (La Spezia, Sarzana)
Da Nord (La Spezia, Sarzana): stessa fermata, Carrara-Avenza.
Dalla stazione è possibile raggiungere Odontoiatria OK con taxi o autobus urbani diretti verso Viale Galilei.
Dalla stazione si può raggiungere lo studio con taxi o autobus urbani diretti verso Viale Galileo Galilei.
Da Marina di Carrara
Da Marina di Carrara: prendere la linea urbana ATN Carrara direzione centro città, fermata “Viale Galileo Galilei”, a pochi metri dallo studio.
Da Massa (10 km): percorrere la SS1 Aurelia in direzione Carrara, uscire a Carrara Centro, proseguire su Viale XX Settembre e svoltare in Viale Galileo Galilei.
Da Sarzana (18 km): prendere la SS1 Aurelia verso sud, seguire le indicazioni per Carrara Centro, poi Viale Galileo Galilei.
Da Marina di Carrara (4 km): imboccare Viale da Verrazzano e poi Viale Galileo Galilei verso il centro città.
Da Avenza (3 km): seguire Viale XX Settembre, quindi svoltare in Viale Galileo Galilei.
Da Fosdinovo (15 km): scendere verso Sarzana, poi imboccare la SS1 Aurelia direzione Carrara fino a Viale Galileo Galilei.












